发布时间:2016-04-02 14:52 我来说说 我要投稿

图据郑州市儿童医院官方微信
河南一名7岁女童阴道流血2年,家长带领她前往医院检查后发现,女孩阴道内竟然藏了一根缝衣针。医生称,像该例患儿阴道出现缝衣针,长期存留但无其他症状,实属罕见,家长对幼女应加强安全教育,以防类似情况发生。
惊奇 女童阴道流血 检查发现缝衣针
一个月前,郑州市儿童医院接诊了一名7岁女孩,她阴道出现间断性流血,已持续2年的时间。“除了阴道偶尔会出现流血现象外,孩子并没有其他症状,也不觉得疼。”内分泌遗传代谢科崔医生说。
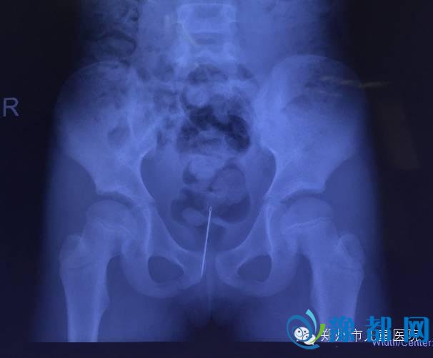
2年内,家长曾带她就诊过当地多家医院,均没有查出病因。郑州市儿童医院医生对女孩进行多项检查后,在其盆腔偏下位置发现一枚家用缝衣针。
随后,女孩体内缝衣针被顺利取出。困扰她2年的阴道出血问题得到解决。但缝衣针是如何进入女孩体内的,现在无从知晓。
提醒 家长对幼女应加强安全教育
据郑州市儿童医院内分泌遗传代谢科卫海燕主任介绍,青春前期女孩阴道出血并非罕见,常见原因为性早熟或异物引起。儿童医院近5年接诊单纯阴道出血40余例,病因有阴道异物(棉球、布条、纸屑)、阴道肿瘤、卵巢囊肿等,像该例患儿阴道出现缝针,长期存留但无其他症状,实属罕见。
卫海燕主任提醒广大家长,对幼女应加强安全教育,以防类似情况发生。如若发现异常阴道出血应及时至有儿科内分泌专科的门诊就诊。
《洛阳一村支书突然死亡 妻子遭骚扰恐吓不敢回家》由河南新闻网-豫都网提供,转载请注明出处:http://health.yuduxx.com/news/367746.html,谢谢合作!
豫都网版权与免责声明
1、未经豫都网(以下简称本网)许可,任何人不得非法使用本网自有版权作品。
2、本网转载其他媒体之稿件,以及由用户发表上传的作品,不代表本网赞同其观点和对其真实性负责。
3、如因作品版权和其它问题可联系本网,本网确认后将在24小时内移除相关争议内容。