发布时间:2017-09-05 09:05 我要投稿

皮肤癌患者体表的癌细胞正在如何变化?要是能直观地看到这些“原生态”癌细胞就好了。为了实现这一愿望,日本研究人员开发出一种癌细胞可视化技术,有助于直接分析患者体表组织内的癌细胞。
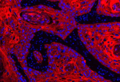
大阪大学石井优教授领导等人开发出的这一技术,借助能标识癌细胞的荧光分子,利用特殊的显微镜进行观察,不仅能从皮肤上发现癌细胞,还能揭示癌细胞的恶性程度。
研究小组注意到,每种癌细胞都有易与其结合的抗体,如果给这些抗体附加上荧光分子,在皮肤表面用显微镜进行观察,就有望看到一个个癌细胞。
在另一项实验中,研究小组在老鼠皮下植入乳腺癌细胞,然后给易与乳腺癌细胞结合的抗体“加挂”荧光分子,再注射到老鼠体内,结果从老鼠体表成功观察到其皮下的乳腺癌细胞。
研究小组认为,如果能观察到癌细胞的形状和活动,通过与癌组织资料比对,就可以评估肿瘤的恶性程度。目前,诊断癌症时常需切片采集癌组织并通过显微镜观察,但如果操作不当,这会导致肿瘤扩大。而利用电子计算机断层扫描(CT)进行诊断时,则容易遗漏转移的小病灶,并且无法判断癌细胞是否容易转移。
这一研究小组日前说,他们今后准备对皮肤癌、乳腺癌等位于身体表面的癌症继续开展研究,争取在5年内制作出检测仪器样机,此外还打算结合内窥镜技术,将这种观察癌细胞的新方法用于诊断胃癌、肺癌等体内深处的癌症,力争10年后达到实用化水平。
豫都网版权与免责声明
1、未经豫都网(以下简称本网)许可,任何人不得非法使用本网自有版权作品。
2、本网转载其他媒体之稿件,以及由用户发表上传的作品,不代表本网赞同其观点和对其真实性负责。
3、如因作品版权和其它问题可联系本网,本网确认后将在24小时内移除相关争议内容。